Nha Khoa Việt Nha
Nha Khoa Việt Nha
0973122711
http://www.nhakhoavietnha.com.vn/
CẠO VÔI RĂNG
0973122711
0976018931
Giờ làm việc
Sáng: 7h30 - 12h Chiều: 14h - 20h
Đóng
Trang chủ
Giới thiệu
Dịch vụ
TRỒNG RĂNG
NHỔ RĂNG
RĂNG SỨ
ĐIỀU TRỊ TỦY
TRÁM RĂNG
CẠO VÔI RĂNG
Bảng giá
Kiến thức nha
Đặt lịch
Trả góp
Liên hệ
Trang chủ
Giới thiệu
Dịch vụ
TRỒNG RĂNG
NHỔ RĂNG
RĂNG SỨ
ĐIỀU TRỊ TỦY
TRÁM RĂNG
CẠO VÔI RĂNG
Bảng giá
Kiến thức nha
Đặt lịch
Trả góp
Liên hệ
Trang chủ
Dịch vụ
CẠO VÔI RĂNG
Dịch vụ
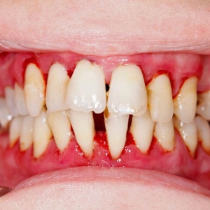
ĐIỀU TRỊ NHA CHU
CẠO RĂNG MỨC ĐỘ 1 - 2
Hotline
Messenger
Zalo
Chỉ đường
0973122711
0976018931